
O método que transformou a D&T Odontologia em referência nacional em lentes de contato dental.
Aprenda diretamente com quem faz, não com quem terceiriza.
Um dia de prática clínica Dr. Douglas, revelando todas as etapas da confecção de lentes: Do planejamento à colagem final.
.png)
Escolha sua turma: 6 ou 13 de dezembro — imersão 100% online e ao vivo com o Dr. Douglas.
De João Pessoa para o mundo: mais de 20 de experiência e um laboratório próprio que garante resultados únicos.
Enquanto 90% dos dentistas dependem de laboratórios externos, nós controlamos cada detalhe dentro da clínica.
O que você vai aprender:
Sem aulas genéricas, cada etapa foi gravada com casos reais da nossa clínica, mostrando o que realmente acontece no consultório.
Benefícios Exclusivos
A imersão oferece muito mais do que teoria: entrega prática real, suporte técnico e diferenciais que só uma clínica de referência pode proporcionar.
.png)
.png)
⚠️ As vagas estão quase esgotadas! Escolha entre as turmas dos dias 6 e 13 de dezembro e viva a experiência completa da imersão com o Dr. Douglas.
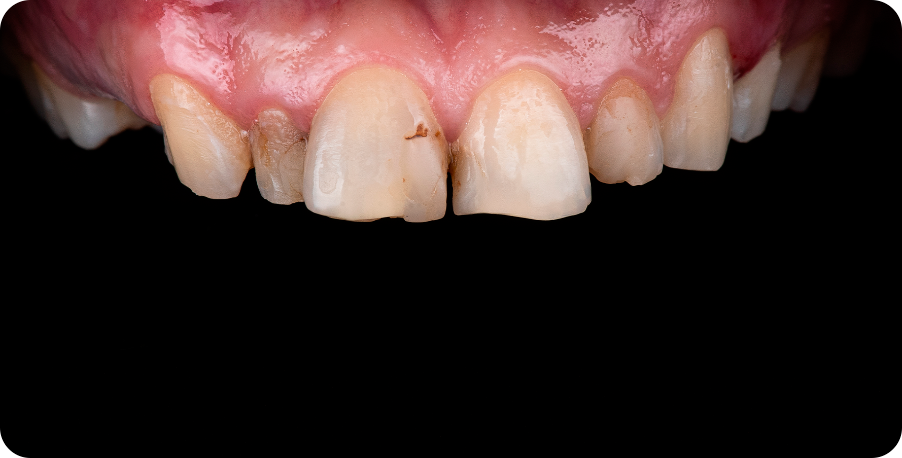
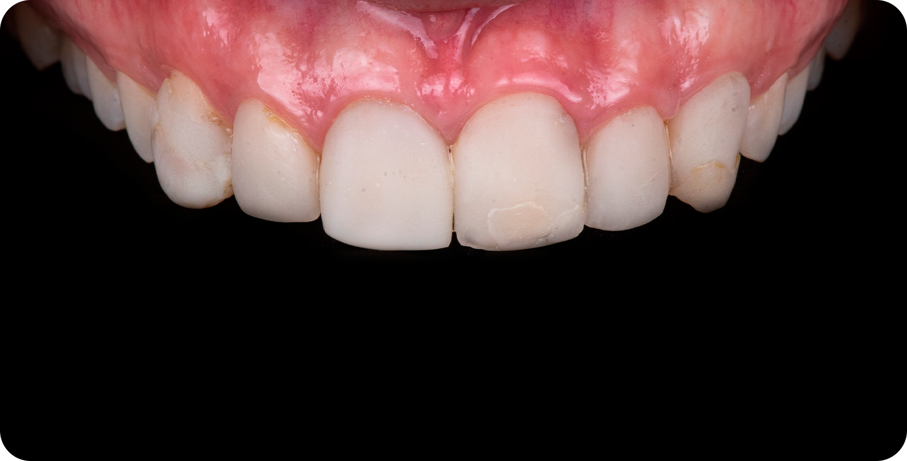
Mudando sorrisos, transformando vidas
Aprenda como ter resultados que falam mais do que qualquer legenda.
.png)
.png)
.png)
.png)
.png)
.png)
Quem vai guiar você:
Dr. Douglas, o nome por trás dos sorrisos mais admirados da Paraíba.
Vindo de uma família de dentistas, o Dr. Douglas cresceu rodeado pela odontologia e desde cedo desenvolveu um olhar apurado para estética, proporção e naturalidade do sorriso.
Formado em Odontologia pela Universidade Federal da Paraíba (UFPB) em 1999, especializou-se logo em seguida, concluindo sua pós-graduação em 2001, e desde então atua incansavelmente na área de reabilitação estética com lentes de contato dental.
Com mais de 20 anos de experiência, o Dr. Douglas é reconhecido por unir arte e precisão técnica — resultado do domínio total sobre cada etapa do processo, desde o planejamento digital até a confecção das lentes em seu laboratório próprio, dentro da clínica.
Hoje, ele é o responsável pelos sorrisos de personalidades, artistas e influenciadores de todo o Brasil e do exterior, que confiam em seu método e no rigor de seu trabalho para alcançar resultados naturais, duradouros e personalizados.
Na imersão, o Dr. Douglas compartilha seu método completo, desenvolvido ao longo de duas décadas, revelando os detalhes que transformaram a D&T Odontologia em referência nacional em estética odontológica.

Planos e Investimento
Profissional
De 197,00
Ou 12x de 10,99

Premium (Com gravação)
De 497,00
Ou 12x de 29,99


E se não gostar da Imersão, reembolsamos o seu dinheiro. Essa é a nossa Garantia.
Inscrição sem risco: Confiamos tanto na qualidade e impacto desse conteúdo que oferecemos uma Garantia Diferenciada. Se, por qualquer motivo, você assistir à imersão completa, baixar os materiais, acessar a apostila e sentir que o evento não agregou nada ao seu conhecimento, poderá solicitar o reembolso do valor investido até as 23h59 do dia 08/11. Sem letras miúdas, sem burocracia.
Essa é a nossa promessa de qualidade – ou você fica 100% satisfeito, ou devolvemos seu dinheiro integralmente. Simples assim. Além dos 7 dias de garantia assegurados por lei, fazemos questão de dar a você a chance de ver todo o conteúdo sem risco.
.png)
.png)
.png)
.png)


.png)


